お口の中の悩みと様々な治療方法

奥歯が抜けてしまった

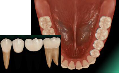
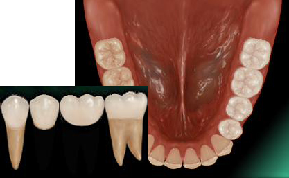
治療前のお口の中の状態




― 上の歯が3本、下の歯が5本抜けてしまっています。



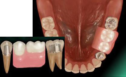
保険治療の場合・・・治療例




― 「ブリッジ」を被せました。
―「部分入れ歯」を入れました。

 
☆ 解説 ☆
ブリッジ・・・
両側の歯を削り支柱にして、人工歯を被せます。

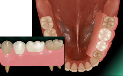
自費治療の場合・・・治療例@




― 「ブリッジ(メタルボンド)」を被せました。
―「部分入れ歯(ノンクラスプデンチャー)」を入れました。

 
☆ 解説 ☆
ブリッジ・・・
両側の歯を削り支柱にして、人工歯を被せます。

【自費のブリッジの素材例】

臼歯ブリッジ(メタルボンド) 臼歯ブリッジ(オールセラミック)
臼歯ブリッジ(ジルコニアセラミック)
画像にカーソルをのせると
説明文が表示されます。

【自費の部分入れ歯の例】

臼歯義歯(ホワイトクラスプ) 臼歯義歯(ノンクラスプ)
臼歯義歯(コーヌス)
画像にカーソルをのせると
説明文が表示されます。

自費治療の場合・・・治療例A




― 「インプラント」を行い、「オールセラミッククラウン」を取り付けました。
― 「インプラント」を行い、「ブリッジ(オールセラミッククラウン)」を取り
         付けました。
☆ 解説 ☆
インプラント・・・
歯を失った部分に人工歯根を埋め込み、人工歯を取り付けます。 違和感がなく、ご自身の歯と同じように噛むことができます。 骨量が充分でない場合は、骨移植などの骨再生術が必要です。