お口の中の悩みと様々な治療方法

前歯が抜けてしまった

治療前のお口の中の状態




― 上の歯が2本、下の歯が4本抜けてしまっています。



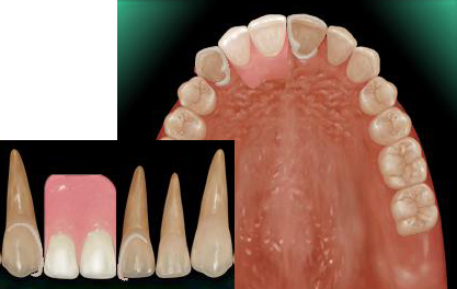
保険治療の場合・・・治療例




― 「ブリッジ」を被せました。
― 「部分入れ歯」を入れました。


☆ 解説 ☆
ブリッジ・・・
両側の歯を削り支柱にして、人工歯を被せます。

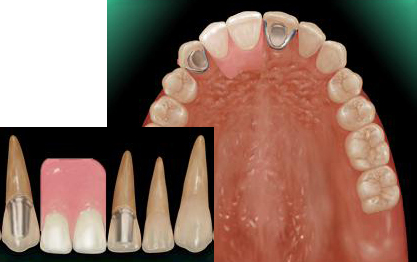
自費治療の場合・・・治療例@




― 「ブリッジ(メタルボンド)」を被せました。
― 「部分入れ歯(ノンクラスプデンチャー)」を入れました。
 
☆ 解説 ☆
ブリッジ・・・
両側の歯を削り支柱にして、人工歯を被せます。

【自費のブリッジの素材例】

前歯ブリッジ(メタルボンド) 前歯ブリッジ(オールセラミック)
前歯ブリッジ(ジルコニアセラミック)
画像にカーソルをのせると
説明文が表示されます。

【自費の部分入れ歯の例】

前歯義歯(ホワイトクラスプ) 前歯義歯(ノンクラスプ)
前歯義歯(コーヌス)
画像にカーソルをのせると
説明文が表示されます。

自費治療の場合・・・治療例A




― 「インプラント」を行い、上部には「オールセラミッククラウン」を取り          付けました。
― 「インプラント」を行い、上部には「ブリッジ(オールセラミック)」を取り          付けました。
☆ 解説 ☆
インプラント・・・
歯を失った部分に人工歯根を埋め込み、人工歯を取り付けます。 違和感がなく、ご自身の歯と同じように噛むことができます。 骨量が充分でない場合は、骨移植などの骨再生術が必要です。